Ecografia delle anse intestinali
L’ecografia delle anse intestinali è una metodica ecografica non invasiva che consente di studiare il piccolo intestino (digiuno e ileo) ed il colon.
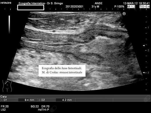
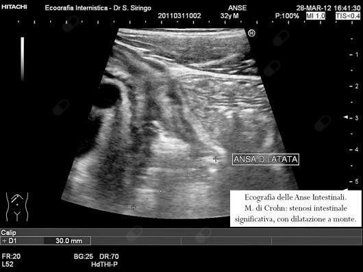
E’ una metodica di primo livello da impiegare nello studio dei disturbi addominali. In particolare, insieme ad alcuni specifici esami di laboratorio, permette un’agevole diagnosi differenziale tra colon irritabile e malattie infiammatorie dell’intestino quali la m. di Crohn e la colite ulcerosa. Inoltre, nel sospetto di m. di Crohn, consente di orientare rapidamente la diagnosi permettendo di rilevare l’ispessimento delle pareti del piccolo intestino e del colon che contraddistingue questa malattia.
Nella m. di Crohn, dopo la diagnosi, è un utilissimo mezzo per seguirne l’evoluzione, la risposta alla terapia e rilevare le possibili complicazioni quali ascessi o restringimenti dell’intestino.
Trova impiego anche in altre condizioni quali la diverticolite, celiachia, diarrea, dolore addominale, gonfiore dell’addome, alternanza di stitichezza e diarrea, sospetto di ascessi addominali, sospetto di infiammazione dell’intestino, etc.
FORMAZIONE
CLICCA SUI PULSANTI PER LA LETTURA DEI DOCUMENTI







